
Remoção de Amálgama em Blumenau
Protocolo SMART · Segurança total para você
Entenda o procedimento passo a passo
A remoção de amálgama exige protocolo rigoroso para proteger você e toda a equipe. Conheça cada etapa e entenda por que esse cuidado faz toda a diferença para a sua saúde.

O que é o amálgama?
O amálgama é uma liga metálica composta por aproximadamente 50% de mercúrio, um dos metais mais tóxicos conhecidos. Utilizado por décadas na odontologia convencional, ele é colocado diretamente nos dentes como material restaurador. Com o tempo, pode liberar vapores de mercúrio continuamente na boca.

Riscos do amálgama na boca
Restaurações de amálgama podem se deteriorar, trincar e liberar partículas e vapores tóxicos. Isso pode contribuir para fadiga crônica, dores de cabeça, problemas autoimunes, alergias e comprometimento do sistema nervoso. Quanto mais restaurações, maior a exposição ao mercúrio.

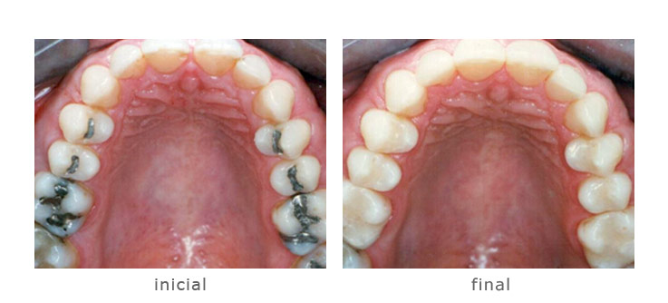
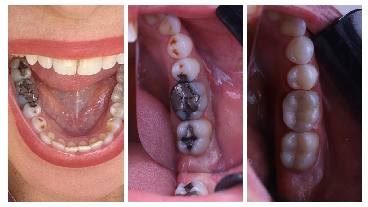
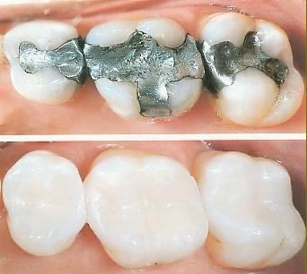
Antes e depois: resultado real
Veja a diferença entre dentes com amálgama e após a remoção segura com substituição por materiais biocompatíveis. O resultado é não apenas estético, mas principalmente funcional e saudável — livre de metais tóxicos e em harmonia com o seu organismo.

Como é feita a remoção segura?
A remoção é realizada com o Protocolo SMART (Safe Mercury Amalgam Removal Technique), que inclui isolamento absoluto com dique de borracha, aspiração de alta potência, oxigênio suplementar para o paciente e proteção completa de olhos e pele. Tudo para evitar a inalação ou contato com vapores de mercúrio durante o procedimento.
Para quem é indicado?
Para qualquer pessoa que possua restaurações de amálgama e deseje substituí-las por materiais biocompatíveis, especialmente quem apresenta fadiga crônica, dores de cabeça, problemas autoimunes ou busca uma abordagem de saúde biológica.